3岁女孩患罕见肿瘤,华西小儿外科多学科团队协作切除

封面新闻 2023-06-21 18:14 74403

康婷 杨纲 封面新闻记者宁芝

近日,一名3岁女孩因患有前纵隔巨大恶性肿瘤,在四川大学华西医院完成肿瘤切除术,顺利出院。

本次手术由华西医院小儿外科杨纲副主任医师,心脏大血管外科罗书画副主任医师,麻醉科杜彬副主任医师、林静副主任医师,耳鼻咽喉-头颈外科王海洋副主任医师,小儿重症监护室赖巍副主任医师、陈思源副主任医师等多学科团队协作,在ECMO支持下完成。

据了解,ECMO下切除成人纵膈肿瘤开展较早,但儿童实施难度更大、风险更高,经查阅文献,该例患儿是文献报道中实施ECMO支持下纵膈肿瘤切除术年龄最小的患儿。

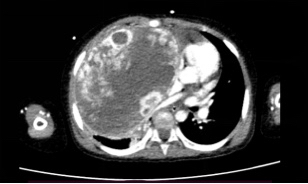
今年3月23日,3岁女孩玲玲(化名)因“咳嗽、喘息、气促”到华西第二医院就诊,本以为只是普通的内科疾病,却没想到因此发现了巨大肿瘤。胸部CT发现玲玲右侧胸腔内巨大软组织团块影,右心缘明显受压变形、右下肺野被动型压缩不张。玲玲在华西第二医院行“右侧胸腔肿瘤穿刺活检术”,病理结果显示:右侧胸腔活检形态示肿瘤浸润。

因肿瘤巨大占位导致玲玲气管下段、左右主支气管及右肺叶、段支气管明显狭窄,右肺外压性不张,玲玲需要经鼻高流量氧气辅助通气,才可以维持氧饱和度,在进行化疗后,肿瘤没有明显缩小,情况十分危急。

华西医院小儿外科杨纲副主任医师受邀会诊,考虑化疗效果不显著,充分评估后认为手术是挽救玲玲生命的唯一希望,于是玲玲从华西第二医院转入华西医院。

经过小儿外科、麻醉科、小儿重症监护室团队多次多学科会诊讨论,最终决定在VA-ECMO辅助下行开胸手术,并制定了周密的手术和麻醉方案。

考虑到手术的急迫性,杨纲副教授团队为其开辟绿色通道,在最短的时间内安排了详细的检查和住院手术。手术历时8个小时,由于肿瘤循环丰富,加上抗凝抑制了凝血功能,术中输血4000ml,相当于患儿自身血容量3倍以上,最终成功切除了重约一斤的肿瘤。

手术的成功只是第一步,术后护理同样关键。不同于其他危重症患儿,在ECMO辅助下的手术,术后需要护理团队更加全面、专业的整体护理和危机意识。在小儿ICU和小儿外科护理团队的精心照护下,玲玲顺利出院,后续将在华西第二医院继续进行化疗。

评论 0

  • 还没有添加任何评论,快去APP中抢沙发吧!

我要评论

去APP中参与热议吧